You are currently browsing the daily archive for March 5, 2016.
From Science Daily:
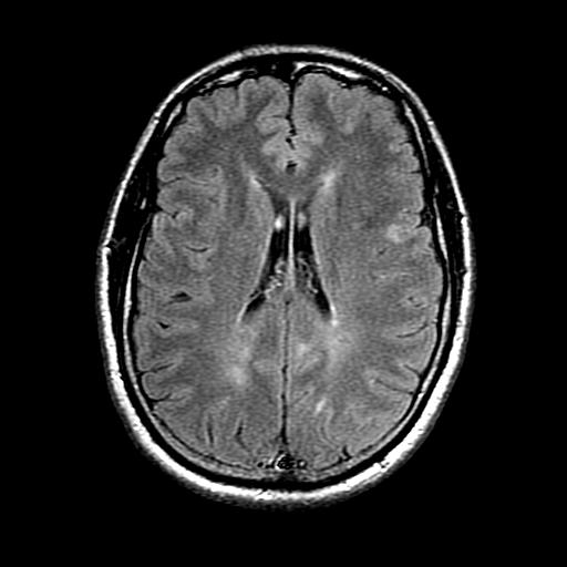
“Now neuroscientists at the University of Sussex’s Sackler Centre and Brighton and Sussex Medical School have identified the brain network system that causes us to stumble and stall just when we least want to.
Dr Michiko Yoshie and her colleagues Professor Hugo Critchley, Dr Neil Harrison, and Dr Yoko Nagai were able to pinpoint the brain area that causes the performance mishaps during an experiment using functional magnetic resonance neuroimaging (fMRI).
Previous research has shown that people tend to exert more force when they know they are being watched. For example, pianists unconsciously press keys harder when they play in front of an audience compared to when playing alone.
In the new study, published in Scientific Reports, participants’ brain activity was monitored while carrying out a task that required them to exert a precise amount of force when gripping an object.”
Now, can we apply this to women in who just happen to exist in society? – The Deep Woods certainly thinks so.
“Given the fact that women are constantly watched in our society, and we are constantly REMINDED that we are being watched by people making fun of fat, “ugly”, or gender-nonconforming women, it makes me wonder how many women have messed up important tasks or projects or just day-to-day activities because A PART OF OUR BRAIN is permanently being deactivated?
[…]
Women are constantly held under the microscope- whether we are attractive or unattractive, the gaze of patriarchy never ends.”
Can a parallel be drawn between having an audience, and the male-gaze that is ever present in our society? Looks like another study is in order, but the connection, if proven wouldn’t be particularly surprising.



Your opinions…